展示品検索

選択してください
選択してください
入力してください

展示品一覧

遠隔画診断レンタルサービス
DX

展示品名: ICHIGO

一般名称:遠隔画診断レンタルサービス

展示品分類: 7.医療画像観察関係  >  7-6 その他画像観察関連機器

出展社: PSP株式会社 (B4-07) MAP

遠隔画診断レンタルサービス
クラウド型線量管理システム
DX

展示品名: MINCADI

一般名称:クラウド型線量管理システム

展示品分類: 8.画像データ装置(薬機法規制対象の装置・ソフトウェア)  >  8-3 画像データ処理関連機器

出展社: PSP株式会社 (B4-07) MAP

クラウド型線量管理システム
地域医療連携サービス
DX

展示品名: TONARI

一般名称:地域医療連携サービス

展示品分類: 9.IT関連機器(薬機法規制対象外の装置・ソフトウェア)  >  9-1 IT関連機器 (法規制対象外)

出展社: PSP株式会社 (B4-07) MAP

地域医療連携サービス
緊急時外部画像参照サービス
DX

展示品名: TSUNAGU

一般名称:緊急時外部画像参照サービス

展示品分類: 9.IT関連機器(薬機法規制対象外の装置・ソフトウェア)  >  9-1 IT関連機器 (法規制対象外)

出展社: PSP株式会社 (B4-07) MAP

緊急時外部画像参照サービス
医療画像用AI
AI
DX

展示品名: NOBORI PAL AI

一般名称:医療画像用AI

展示品分類: 8.画像データ装置(薬機法規制対象の装置・ソフトウェア)  >  8-3 画像データ処理関連機器

出展社: PSP株式会社 (B4-07) MAP

医療画像用AI

展示品名: 放射線治療用イーコレ

一般名称:放射線治療用患者体位固定具

展示品分類: 10.関連機器  >  10-3 その他

出展社: 龍野コルク工業株式会社 (C1-09) MAP

放射線治療用患者体位固定具
放射線治療用患者体位固定具

展示品名: イーコレ・スムース

一般名称:放射線治療用患者体位固定具

展示品分類: 10.関連機器  >  10-3 その他

出展社: 龍野コルク工業株式会社 (C1-09) MAP

放射線治療用患者体位固定具
手術映像記録システム

展示品名: SURGEONE v2

一般名称:手術映像記録システム

展示品分類: 9.IT関連機器(薬機法規制対象外の装置・ソフトウェア)  >  9-2 画像データ処理装置(法規制対象外)

出展社: ティアック株式会社 (B2-02) MAP


SURGEONE v2(サージワン ブイツー)は、院内の検査映像を一元管理できる映像管理システムです。
院内ネットワーク上でカルテ端末などの既存端末のブラウザを使用し、検索・再生・編集などの操作が可能です。カンファレンスでの動画共有、学会発表資料用の動画編集など、必要な機能に絞り込み低コストでの運用を実現します。また、ログインID単位での各種権限の付与により閲覧編集制限を設け、目的に応じてリスクを低減しながら管理することが可能です。

手術映像記録システム
メディカルビデオレコーダー

展示品名: UR-NEXT4K

一般名称:メディカルビデオレコーダー

展示品分類: 7.医療画像観察関係  >  7-6 その他画像観察関連機器

出展社: ティアック株式会社 (B2-02) MAP


2 ch同時記録、透視連動記録等、多彩な機能を搭載したメディカルビデオレコーダーです。血管造影装置(バイプレーン)やERCP(内視鏡とX線TV)などといった2つの映像ソースを、検査装置のフットスイッチと連動し同時に記録することができます。また4K大画面マルチモニタの映像を4Kで記録することが可能です。記録映像は内蔵HDDとともに外部USBデバイスやネットワーク経由でNASやPCなどの共有フォルダに自動的に転送することもできます。さらに動画管理システムと接続することで、記録データを管理する機能の拡張も可能です。

メディカルビデオレコーダー
メディカルビデオレコーダー

展示品名: UR-4MD-SE

一般名称:メディカルビデオレコーダー

展示品分類: 7.医療画像観察関係  >  7-6 その他画像観察関連機器

出展社: ティアック株式会社 (B2-02) MAP


UR-4MD-SEは、血管造影装置(シングルプレーン)やX線TVといった検査装置と連携し、高解像度の静止画・動画が記録できるメディカルビデオレコーダーです。内蔵ハードディスク(1TB)搭載でバックアップを確実にするとともに、USBフラッシュメモリー、USBハードディスクに同時記録を行い、PCなどのデバイスでのデータ再生を実現します。またネットワーク機能も搭載しているので、データ転送も可能です。さらに動画管理システムと接続することで、管理機能の拡張も可能です。

メディカルビデオレコーダー
メディカルビデオレコーダー
新展示品

展示品名: MV-5

一般名称:メディカルビデオレコーダー

展示品分類: 7.医療画像観察関係  >  7-6 その他画像観察関連機器

出展社: ティアック株式会社 (B2-02) MAP


『MV-5』は、現行製品である「MV-1」で高く評価されてきた消化器内視鏡との高度な連携機能を継承しつつ、セキュリティ機能を新たに搭載した、MVシリーズの最新機種です。
操作画面となるタッチパネルの形式やアイコンを見直し、直感的で使いやすい操作性を実現しました。外部タッチパネルにも対応しているため、設置場所の自由度が高く、さまざまな使用環境に柔軟に対応可能です。

メディカルビデオレコーダー
メディカルモニターソリューション

展示品名: RadiForce

一般名称:メディカルモニターソリューション

展示品分類: 7.医療画像観察関係  >  7-5 モニター画像観察関連

出展社: EIZO株式会社 (C4-06) MAP


EIZOは、展示テーマに“映像で医療の「みる(見る・視る・診る)」を支える”を掲げ、検査や診察・診断、治療など、院内のさまざまな場面で役立つ映像ソリューションを紹介・展示します。

主な展示製品
・読影支援
・ブレストイメージング
・資産管理 / 品質管理 / 保守
・マルチモダリティ診断支援
・院内モニタリング

EIZOブースの見どころを、EIZO Webサイトにてご覧ください。

メディカルモニターソリューション
汎用画像診断装置ワークステーション用プログラム
AI

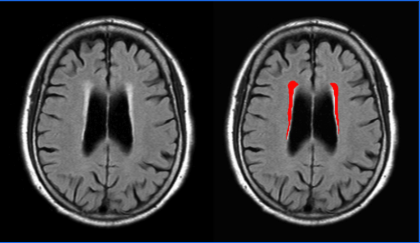
展示品名: EIRL Brain Metry

一般名称:汎用画像診断装置ワークステーション用プログラム

展示品分類: 8.画像データ装置(薬機法規制対象の装置・ソフトウェア)  >  8-2 画像データ処理ソフト (診断用・法規制対象)

出展社: エルピクセル株式会社 (D2-14) MAP


・白質高信号領域(脳室周辺白質高信号領域・深部皮質下白質高信号領域)の体積の自動計測

・白質高信号領域の体積を測定した結果を元にしたP/Dスコア*の出力(エルピクセルが独自にスコアリング)

・脳ドックのフィードバックに利用可能な受診者向けレポートの出力(非医療機器)




*P/Dスコア 白質高信号領域の体積を測定した結果を元に、エルピクセルが独自にスコアリングしたものです。

汎用画像診断装置ワークステーション用プログラム
汎用画像診断装置ワークステーション用プログラム
新展示品

展示品名: Ultrasound Workspace

一般名称:汎用画像診断装置ワークステーション用プログラム

展示品分類: 8.画像データ装置(薬機法規制対象の装置・ソフトウェア)  >  8-2 画像データ処理ソフト (診断用・法規制対象)

出展社: ニプロ株式会社 (C1-03) MAP


■2D解析 ■M-Mode解析 ■Doppler解析 ■Vascular解析 ■Pediatric解析
■2D Strain解析 ■2D Auto LV※ ■4D LV解析 ■3D RV解析 ■3D MV解析 
■3D Auto TV ■3D Auto CFQ※
※特定のPhilips社製トランスデューサーで撮影された画像が対象です。

汎用画像診断装置ワークステーション用プログラム
新展示品

展示品名: Imactis CT Navigation

一般名称:コンピュータ断層撮影装置

展示品分類: 2.CT  >  2-2 CT関連機器

出展社: GEヘルスケア・ジャパン株式会社 (C5-01) MAP

コンピュータ断層撮影装置
X 線 CT 組合せ型 SPECT 装置

展示品名: VERITON-CT・全身用CZT半導体SPECT/CT

一般名称:X 線 CT 組合せ型 SPECT 装置

展示品分類: 4.核医学装置  >  4-1 核医学診断装置

出展社: Spectrum Dynamics Medical Japan株式会社 (D3-02) MAP


VERITON-CTは360度同時撮像を実現した全身用半導体ガンマカメラシステムです。ガントリ内に均等に配列された近接センサ搭載の12個の検出器が患者から数mmの位置まで近接し、すべてが同時に旋回して撮像を行います。31.5cmの広い体軸方向の視野を持ち、短時間の全身3D撮像を実現します。
最新機ではCZT半導体検出器の性能が大きく向上し、エネルギー分解能と感度がさらに改善され、I-131の検査も可能となりました。
PET画像に迫る高画質で、微小な病変の検出とより正確な定量評価を可能にし、セラノスティクスに大きく貢献します。

※360度同時撮像。被験者の体型に合わせた最適なスキャン
※最新のデジタル技術により、エネルギー分解能・ガンマ線検出効率が改善。I-131のイメージングも実現
※優れた空間分解能により微小な病変の検出が可能
※高速スキャンにより、検査時間を短縮し、患者負担・業務効率を改善
※1フレーム最短2-5秒のDynamic SPECTが実施可能で最先端のノイズ低減技術を搭載
※低被ばくの検査が可能
※全身SPECTを約10分前後で実施可能

X 線 CT 組合せ型 SPECT 装置
核医学診断用リング型 SPECT 装置

展示品名: D-SPECT カーディアック スキャナー システム

一般名称:核医学診断用リング型 SPECT 装置

展示品分類: 4.核医学装置  >  4-1 核医学診断装置

出展社: Spectrum Dynamics Medical Japan株式会社 (D3-02) MAP


心臓専用SPECT装置のD-SPECT®シリーズ(D-SPECT® Cardio/D-SPECT® VISTA)は、患者の左前胸部に密着するようデザインされたアーチ状ガントリ内に6個もしくは9個の検出器が配列され、同時に回旋することで撮像を行います。心臓専用設計と独自の撮像手法により、短時間で高画質画像を提供。Deep Learning技術を応用した減弱補正を備え、より正確な診断を支援。非常にコンパクトな設計で、限られたスペースで設置が可能。座位での検査が可能なため、患者の負担が少なく快適な検査環境を提供します。

※二核種同時収集による検査の効率化と被爆低減(STR : Tl-201 + RST : Tc-99m、血流:Tc-99m + 脂肪酸代謝:I-123 BMIPPなど)
※独自の再構成アルゴリズムにより空間分解能が向上
※最大約10倍のシステム感度を有し、少ない放射能量での検査が可能
※最大荷重454㎏、座位、仰臥位など様々な体位での検査が可能。患者様の快適性を追求
※1フレーム3秒のDynamic SPECTが実施可能
※省スペースで設置が可能なコンパクト設計

核医学診断用リング型 SPECT 装置
医療向けモバイルタブレット MD102N
新展示品
AI

展示品名: 医療向けモバイルタブレット MD102N

一般名称:医療向けモバイルタブレット MD102N

展示品分類: 9.IT関連機器(薬機法規制対象外の装置・ソフトウェア)  >  9-1 IT関連機器 (法規制対象外)

出展社: ONYX Healthcare Inc. (D1-16) MAP


インテルN200プロセッサ搭載10.1インチ医療タブレット
MD102N

仕様
・インテル Alder Lake processor N200プロセッサ 搭載
・10.1インチ小型スリムで軽量なデザイン
・長時間稼働可能バッテリー搭載
・医療機器に簡単に接続できる標準USB Type-A搭載
・防水防塵IP54及び1.5メートル耐落下検証済み

医療向けモバイルタブレット MD102N
22インチ デュアルホットスワップバッテリー 医療カート用パネルPC
新展示品

展示品名: 22インチ デュアルホットスワップバッテリー 医療カート用パネルPC

一般名称:22インチ デュアルホットスワップバッテリー 医療カート用パネルPC

展示品分類: 9.IT関連機器(薬機法規制対象外の装置・ソフトウェア)  >  9-1 IT関連機器 (法規制対象外)

出展社: ONYX Healthcare Inc. (D1-16) MAP


21.1インチファンレス医療機器向けオールインワンパネルPC

仕様
・ Intel Arrow Lake Core Ultra 5(第15世代)プロセッサー搭載
・セキュリティ強化(TPMおよびOnyx Smart Screensaver対応)
・デュアルホットスワップ対応バッテリーで長時間稼働を実現
・静電容量式マルチタッチパネル
・医療クラス保護設計のEMC4.1/ Safety 3.2を準拠
・日本SIAA抗菌仕様採用

22インチ デュアルホットスワップバッテリー 医療カート用パネルPC
最新Nvidia Jesson Orin Nanoプラットフォーム搭載医療AI エッジ ACCEL-JS1000
新展示品
AI

展示品名: ⑥ 最新Nvidia Jesson Orin Nanoプラットフォーム搭載医療AI エッジ ACCEL-JS1000

一般名称:最新Nvidia Jesson Orin Nanoプラットフォーム搭載医療AI エッジ ACCEL-JS1000

展示品分類: 9.IT関連機器(薬機法規制対象外の装置・ソフトウェア)  >  9-1 IT関連機器 (法規制対象外)

出展社: ONYX Healthcare Inc. (D1-16) MAP


最新Nvidia Jetson AGX Orinプラットフォーム搭載医療AI エッジ
ACCEL-JS1000

仕様
・ NVIDIA Jetson AGX Orin プラットフォーム(64GB LPDDR5 または 32GB LPDDR5 メモリ搭載)
・最大 275 TOPS の強力のAIコンピューティングパフォーマンス
・HDMI 2.0 ビデオ出力対応
・3G SDI、12G SDI、または HDMI ビデオ入力対応
・医療向け設計及び機能/CE / FCC / ULの医療認証取得

最新Nvidia Jesson Orin Nanoプラットフォーム搭載医療AI エッジ ACCEL-JS1000